Dental - Pareidolia Systems
Dental

Dental

Pareidolia Systems transforms dental diagnostics through expert annotation of intraoral X-rays, panoramic radiographs, and cone beam CT imaging. Our experts meticulously label teeth, roots, caries, restorations, bone loss, periapical lesions, cysts, fractures, periodontal disease, impacted teeth, and jaw abnormalities. These clinically validated, pixel-level annotated datasets enable robust AI solutions for cavity detection, root canal assessment, implant planning, orthodontic analysis, and maxillofacial pathology evaluation.

By delivering rich, accurate dental imaging data, we accelerate development of AI models that improve diagnostic accuracy, treatment planning, and patient outcomes in oral healthcare. Our datasets enable earlier detection of dental caries, bone loss, periapical lesions, cysts, fractures, and periodontal disease. With AI-powered imaging, dentists gain faster, standardized insights that reduce diagnostic errors, streamline workflows, and foster better patient communication for proactive care.

Types of Medical Image Annotation in Dental

Cone Beam CT Annotation & Segmentation

Pareidolia Systems offers precise annotation for dental CBCT scans, generating detailed 3D images of teeth, jaws, nerve canals, sinuses, and soft tissues. We label impacted teeth, fractures, cysts, tumors, temporomandibular joint (TMJ) structures, and bone density variations. Our expertly validated datasets enable AI models for surgical planning, implant placement, pathology detection, and orthodontic assessment, supporting advanced, patient-specific dental care.

Orthopantomogram (OPG) Annotation & Segmentation

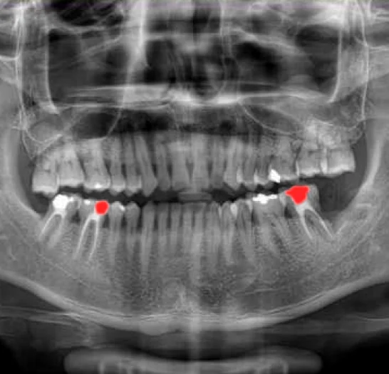
Our annotation services for panoramic dental X-rays provide a comprehensive view of the entire mouth, including upper and lower jaws, teeth, temporomandibular joints (TMJ), and surrounding bone structures. We carefully identify and label cavities, root canals, cystic lesions, bone loss from periodontal disease, fractures, and impacted teeth. These detailed annotations allow AI models to deliver thorough oral health assessments, detect dental issues, and support effective treatment planning.

Intraoral X-ray Annotation & Segmentation

We specialize in providing high-precision medical imaging annotation and segmentation services, focusing on detailed intraoral X-rays, including bitewing and periapical images, where our skilled experts accurately delineate critical dental features such as carious lesions (tooth decay), root fractures, existing restorations, and precise periodontal bone levels, producing meticulously curated datasets that are essential for training and validating advanced AI tools, thereby empowering diagnostic systems to achieve early detection of various dental pathologies and facilitating highly accurate, targeted treatment planning with superior clinical relevance.

Orthodontic Imaging Annotation & Segmentation

Our annotation services cover cephalometric and 3D orthodontic scans, focusing on tooth positioning, jaw alignment, and airway space evaluation. By providing precise, clinically validated labels, we enable AI models to assist in diagnosis, treatment planning, and monitoring of orthodontic progress for improved patient care.

Dental Implant Imaging Annotation

Pareidolia Systems offers specialized annotation for dental implant imaging, vital for precise 3D visualization and implant planning. Using CBCT and related scans, we accurately mark implant sites, bone quality, nerve canals, and key anatomical landmarks which are essential to guide treatment. These high-quality, validated datasets support 3D printing companies in producing patient-specific implants and surgical guides, enhancing accuracy and clinical outcomes.

Contact us