Ai in Nephrology - Pareidolia Systems
Nephrology

Nephrology

Pareidolia Systems provides high-precision renal imaging annotation and segmentation services that power reliable AI-driven nephrology diagnostics. Our clinical experts meticulously label and segment renal structures, vessels, lesions, and calcifications using advanced medical image annotation tools to ensure clean, consistent, and clinically valid datasets.

Each dataset undergoes multi-stage quality assurance and radiologist validation to maintain fidelity, accuracy, and medical relevance. By delivering structured, DICOM/Nifti data, Pareidolia Systems enables AI algorithms to detect renal pathologies, quantify hydronephrosis, and assess kidney function with superior diagnostic precision. We help healthcare innovators and medical imaging companies build trustworthy, high-performing AI models for renal disease analysis and clinical decision support.

Types of Medical Image Annotation in Nephrology

Renal X-ray Annotation & Segmentation

Pareidolia Systems provides precise renal X-ray annotation and segmentation services that enable the development of AI-driven nephrology and diagnostic imaging solutions. Our expert annotators accurately label renal structures, calcifications, stones, and soft-tissue outlines on X-ray KUB & X-ray IVU, ensuring each dataset supports high-quality model training and clinical validation. Using advanced medical image annotation tools, we create structured, consistent, and DICOM-compliant datasets that enhance diagnostic clarity and algorithm performance.

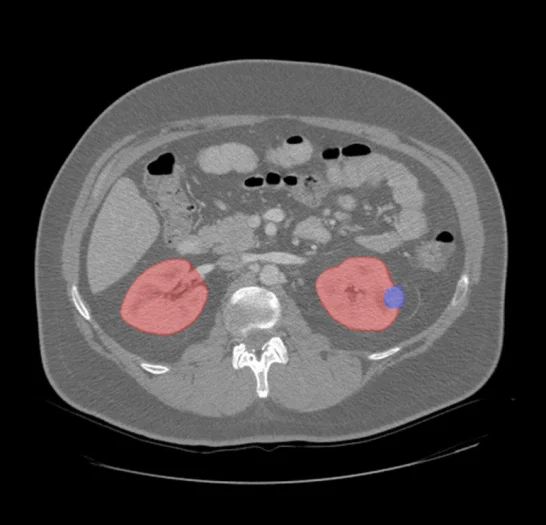
Renal CT Annotation & Segmentation

Pareidolia Systems offers high-precision renal CT annotation and segmentation services that enhance medical image analysis and fuel AI-driven nephrology solutions. Pareidolia’s domain experts deliver pixel-level segmentation of renal parenchyma, lesions, and vascular structures, ensuring accurate delineation of tumor margins, kidney stones, and vessel morphology. Using advanced annotation tools and standardized workflows, we produce clinically validated datasets that support diagnostic and research applications.

Renal MRI Annotation & Segmentation

Pareidolia Systems provides precise medical image annotation and segmentation for cortical, medullary, and pathological regions. Our high-fidelity datasets enhance AI model accuracy in detecting fibrosis, cysts, and calcification. With continuous quality control, we deliver reproducible, clinically validated data for reliable and scalable AI-driven diagnostics.

Renal Ultrasound Annotation & Segmentation

Pareidolia Systems provides expert ultrasound annotation for nephrology imaging, accurately labeling renal structures, cysts, and calculi. Our high-quality datasets support AI models for kidney disease detection and diagnostic imaging. With rigorous quality control, we deliver reliable, clinically consistent data that enhances precision in healthcare AI development and analysis.

Contact us