Musculoskeletal - Pareidolia Systems
Musculoskeletal

Musculoskeletal

Pareidolia Systems accelerates AI innovation in orthopedic diagnostics through precise medical image annotation and domain-driven healthcare data curation. Our clinical annotators annotate fractures, cortical disruptions, joint spaces, implants, cortical disruptions and tumor margins across X-ray, CT, and MRI imaging with exceptional accuracy. Every dataset undergoes multi-tier quality assurance to ensure clean, unbiased, and clinically validated data for AI model training.

By structuring complex musculoskeletal imaging into reliable, high-fidelity datasets, Pareidolia Systems empowers AI algorithms to detect fractures, assess bone healing, and classify sarcomas with precision and confidence. Our expert-led annotation and segmentation services bridge clinical expertise with computational intelligence, enabling healthcare organizations to build robust, AI-driven orthopedic diagnostic solutions.

Types of Medical Image Annotation in Musculoskeletal

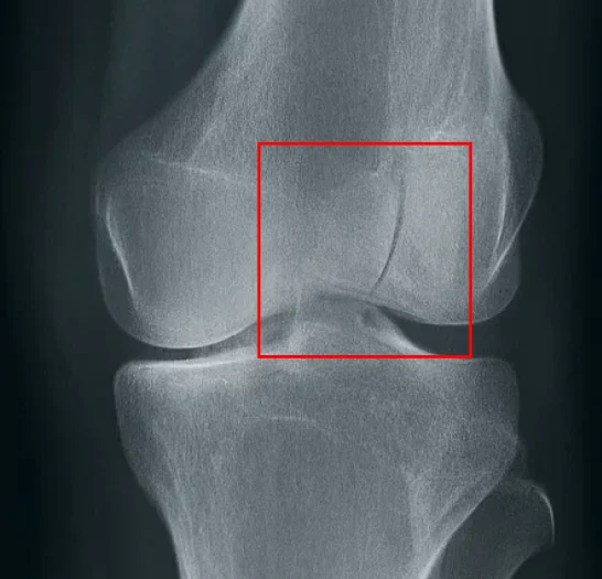
Musculoskeletal X-ray Annotation & Segmentation

Pareidolia Systems delivers expert musculoskeletal X-ray annotation and segmentation services for AI-powered orthopedic imaging. Our combination radiologist & clinical annotators workflow ensures precise fracture, implant, and joint labeling with rigorous quality control. We create structured, AI-ready datasets that accelerate medical imaging innovation, improve diagnostic accuracy, and support advanced machine learning models.

Musculoskeletal CT Annotation & Segmentation

Pareidolia Systems provides high-precision musculoskeletal CT annotation and segmentation services for AI-based orthopedic imaging. Our clinical experts annotate & segment on fractures, bone tumors, and implants with accuracy across all imaging planes. Each dataset meets clinical validation & compliance standards, enabling advanced AI models for surgical planning, disease detection, and orthopedic research.

Musculoskeletal MRI Annotation & Segmentation

Pareidolia Systems provides advanced musculoskeletal MRI annotation and segmentation services that support AI-driven orthopedic diagnostics and research. Our expert annotators capture fine structural and soft-tissue details essential for understanding joint pathology, cartilage damage, and tumor development. Using precise labeling of ligaments, cartilage, bone marrow, and tumor margins, our workflows enable AI models to accurately distinguish between osteosarcoma, chondrosarcoma, and other musculoskeletal anomalies.Pareidolia Systems empowers healthcare innovators and medical imaging companies to develop powerful, data-driven orthopedic and oncology diagnostic solutions.

Musculoskeletal Ultrasound Annotation & Segmentation

Pareidolia Systems offers advanced musculoskeletal ultrasound annotation and segmentation services designed to enhance AI-based orthopedic diagnostics and research. Our expert clinical annotators identify and segment muscles, tendons, ligaments, nerves, and joint structures with precision, ensuring high-quality datasets for AI model training and medical imaging analysis. Multi-stage validation and standardized workflows, each annotated USG dataset maintains clinical accuracy, consistency, and compliance with data privacy regulations.

Contact us