Medical Image Segmentation

img

Pareidolia Systems LLP<span style=”font-weight: 400;”>, segmentation is not just a task — it’s our precision craft.
We combine <b>domain expertise in radiology with advanced AI-assisted tools to deliver segmentation that’s accurate, reproducible, and model-ready. Pareidolia’s medical data annotators are trained across diverse anatomical regions and modalities, ensuring consistent labeling for applications spanning oncology, neurology, orthopaedics, and cardiology. Each segmented dataset undergoes multi-layered quality assurance in medical imaging, ensuring it meets diagnostic standards and supports AI-based healthcare data annotation</b> with precision.

Turning Pixels into Precise Insights

Pareidolia Systems delivers high-precision medical image segmentation services designed to meet the specific requirements of clinical AI models. Our pixel-accurate segmentation workflows ensure clean, consistent, and clinically reliable outputs that strengthen model training and performance. With expertise across multiple modalities and pathologies—from brain region segmentation to cardiac chamber delineation—our team provides the precision and domain understanding needed to build robust, trustworthy medical imaging AI.

What is Medical Image Segmentation?

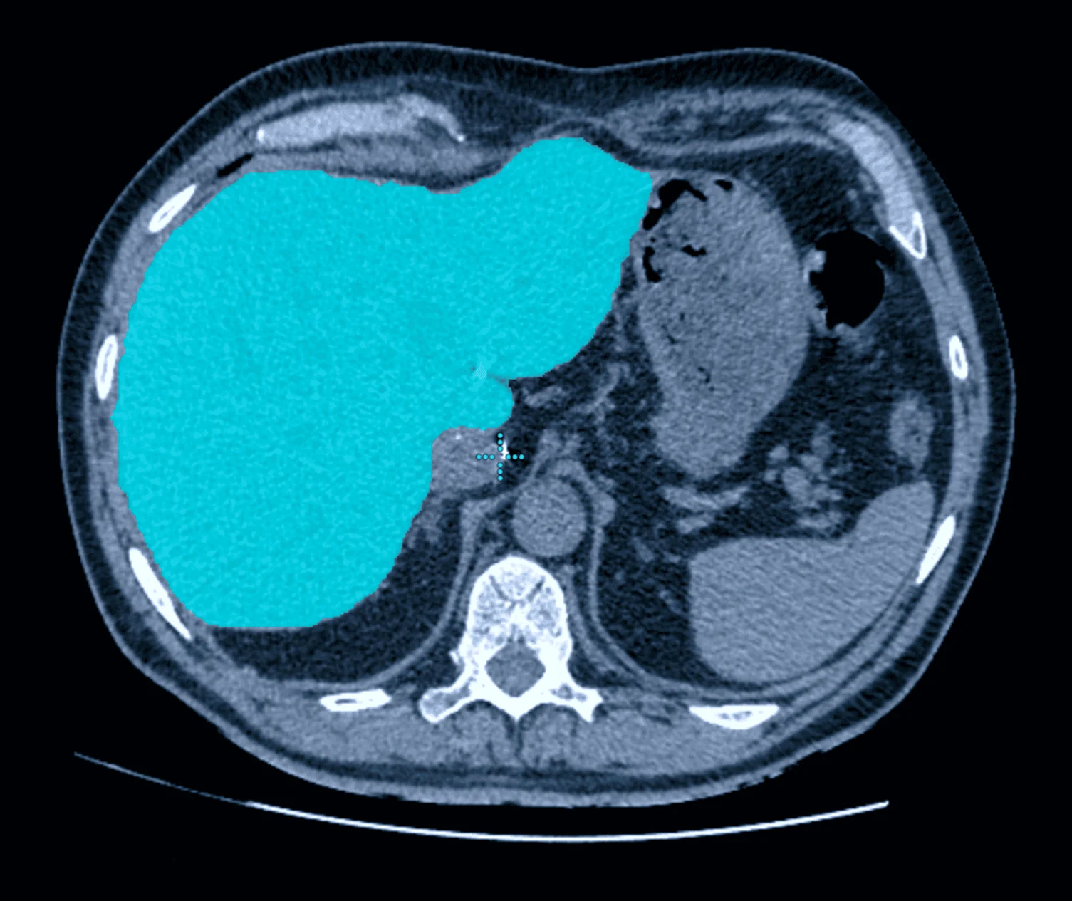
Medical image segmentation

Medical image segmentation</b> is the process of partitioning medical images such as CT, MRI, PET, or ultrasound scans into meaningful regions that represent organs, tissues, or pathological structures. This step is essential for medical image analysis, enabling clinicians and algorithms to isolate regions of interest , quantify abnormalities, and enhance diagnostic precision.
Medical AI segmentation, accurate labeling and delineation ensure that deep learning models can identify diseases, detect anomalies, and support automated diagnostic workflows with reliability and consistency.

img

What We Deliver in Medical Image Segmentation?

 

  • High-fidelity anatomical and pathology masks.
  • Multi-layered segmentation outputs.
  • Custom label structures and ontology mapping.

Applications

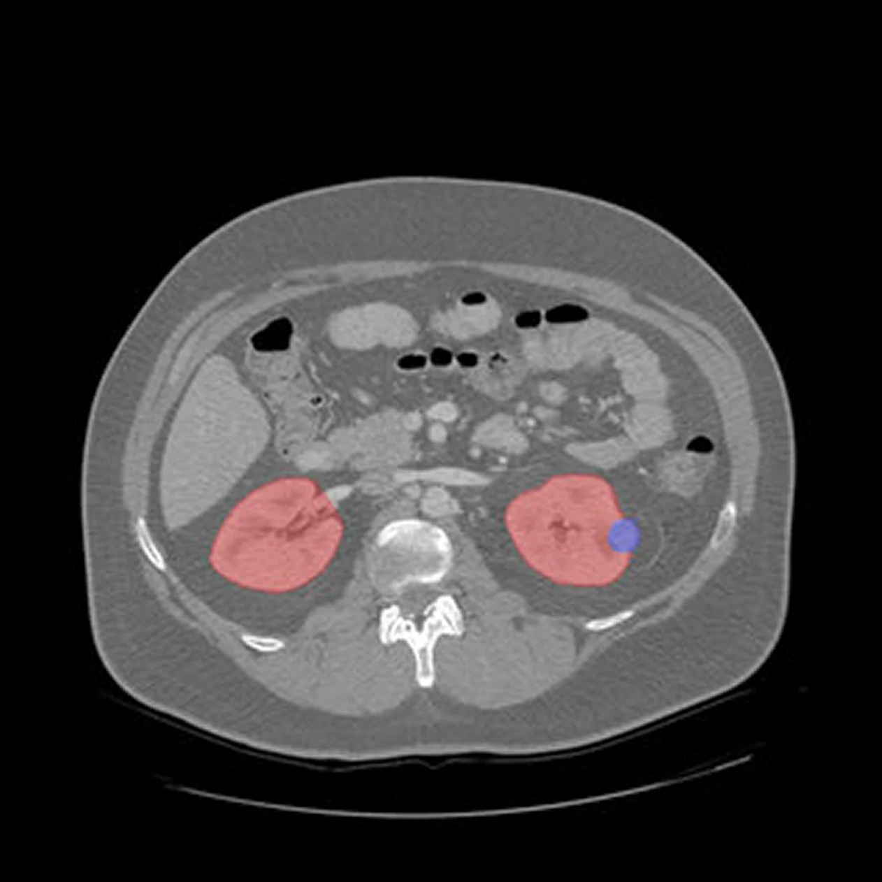
  • Precise Lesion Segmentation

  • Accurate Organ Segmentation

  • Detailed Vessel Segmentation

  • Disease Pathology Segmentation

img

Why Accurate Medical Image Segmentation Matters for Your Medical AI?

Precise segmentation is essential for training medical AI models that require detailed anatomical or pathology-level understanding. High-accuracy masks enable models to measure volumes, isolate target regions, track disease progression, and differentiate tissue types with clinical reliability. Inaccurate segmentation introduces noise into the training dataset, resulting in unstable models, poor generalization, and reduced diagnostic value. High-fidelity segmentation ensures your AI performs consistently, safely, and at a standard suitable for clinical applications.

Why Choose Pareidolia Systems?

  • ria-level=”1″>

    Pixel-perfect segmentation accuracy.

    </li>

  • style=”font-weight: 400;” aria-level=”1″>

    Domain-driven annotation workflows.

  • level=”
  • 1″>

    AI-ready output formats.

  • End-to-end quality control in radiology checks.

  • Scalable and secure delivery.

img

Contact us

hello