neurology-icon

Neurology

Pareidolia Systems LLP is the ultimate choice for medical AI data outsourcing in India. Recognized as the best medical image segmentation provider, we deliver high-impact outsourced medical image annotation services for AI models focused on Neurology. We Annotate. You Innovate. Pareidolia Systems expertise is crucial for developing robust stroke detection datasets and models for hydrocephalus and other neurological conditions.

Pareidolia specialises in creating clinically accurate brain MRI segmentation datasets for neurological AI development. Our expert annotation team for healthcare AI comprises clinical domain experts who perform precise neurology imaging annotation. We meticulously segment complex structures, including: Gray and white matter, Vascular regions (e.g., aneurysms), Lesion boundaries (e.g., neurodegenerative lesions), Tumor margins

As the trusted medical annotation company for deep learning, we supply superior AI training data for radiology startups. Pareidolia systems commitment to quality is unwavering: every dataset undergoes a rigorous, multi-level process for accurate medical imaging QC for AI models. This guarantees clean, consistent, and clinically validated data, enabling you to create medical datasets for machine learning that achieve superior diagnostic accuracy and regulatory compliance. Partner with Pareidolia Systems to accelerate your high-quality data pipelines and advance neurological diagnostic solutions.

Types of Medical Image Annotation in Neurology

Neurology MRI Annotation & Segmentation

Neurology MRI annotation and segmentation services deliver precise brain imaging datasets for AI model training and clinical research. Pareidolia’s expert clinical annotators and radiologists enhance accuracy in detecting neurological disease like occlusion, haemorrhage, infarct, aneurysm, tumors and Alzheimer’s, empowering medical imaging companies to advance diagnostic performance and neuroimaging innovation.

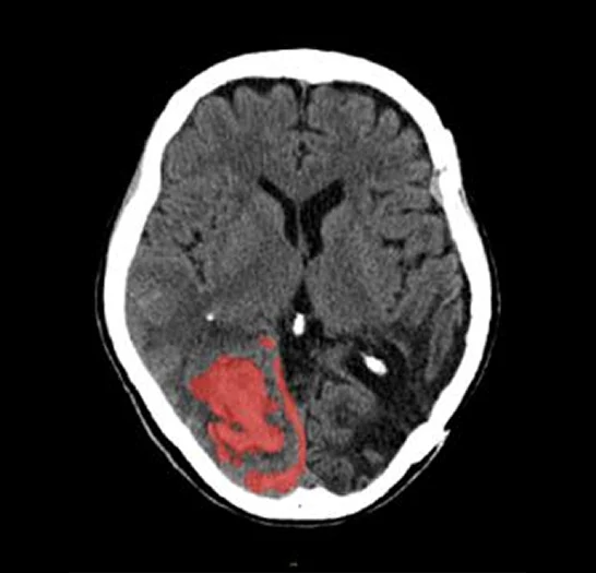
Neurology CT Annotation & Segmentation

Neurology CT annotation and segmentation services deliver accurate, structured brain imaging datasets for AI model training, diagnostics, and research. Expert annotators and radiologists label brain tissues, vessels, and lesions using advanced tools, improving detection of injuries, tumors, and hemorrhages while accelerating AI-powered diagnostic development and optimizing clinical workflows.

Neurology USG Annotation & Segmentation

Neurology ultrasound is revolutionizing brain and nervous system imaging with real-time visualization and diagnostic precision. With the integration of artificial intelligence, annotation and segmentation services have become vital for converting ultrasound scans into structured, high-quality data for clinical and research applications. Annotation involves labeling key regions such as nerves, vessels, and lesions, while segmentation defines their boundaries for detailed analysis. Accurate neurology USG annotation enables faster diagnosis, surgical planning, and neurological research.

Contact us