AI in Respiratory Care Pulmonology Solutions | Pareidolia
Pulmonology

Pulmonology

Pareidolia Systems accelerates AI breakthroughs in pulmonology through refined medical image annotation and specialized healthcare data curation. Our clinical annotators expertly label subtle lung nodules, interstitial changes, fibrosis, consolidations, and tumors across chest X-rays and CT scans with unmatched precision. Every dataset undergoes multi-level clinical validation to ensure unbiased, anatomically accurate, and medically compliant AI training data.

By converting complex pulmonary radiology images into high-fidelity, reproducible datasets, Pareidolia Systems enables AI to detect early lung diseases, differentiate infections and malignancies, and improve clinical decision-making. Combining clinical domain expertise with cutting-edge annotation technology, we empower healthcare innovators to develop robust, AI-powered pulmonary diagnostic solutions that drive better patient outcomes.

Types of Medical Image Annotation in Pulmonology

Pulmonology X-ray Annotation & Segmentation

Pareidolia Systems delivers expert annotation and segmentation for chest X-ray imaging, enabling robust AI-driven pulmonary diagnostics. Our clinical specialists accurately label lung fields, nodules, infiltrates, consolidation, pleural effusion, cardiomegaly, and vascular changes on radiographs, supporting early detection of respiratory conditions. Datasets undergo strict validation to ensure medical compliance and anatomical precision. Through high-fidelity chest X-ray annotation Pareidolia Systems accelerates the development of reliable, clinically validated pulmonary AI models for smarter respiratory disease analysis and care.

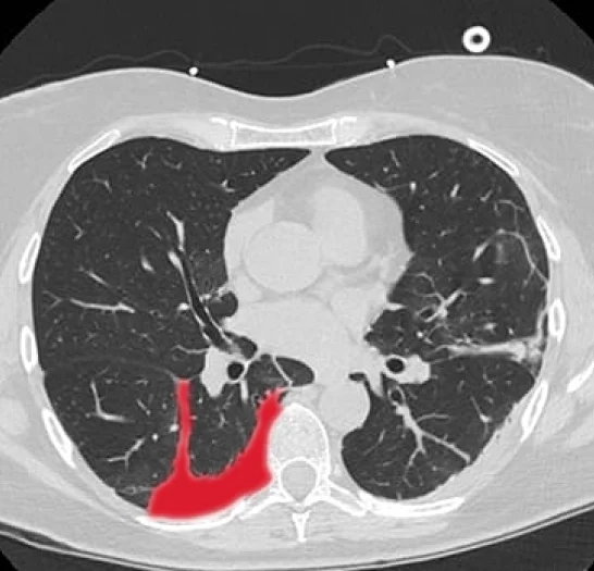
Pulmonology CT Annotation & Segmentation

Pareidolia Systems provides expert annotation and segmentation services for lung CT scans, supporting accurate AI-driven diagnosis of respiratory conditions. Our experts precisely delineate lung structures, nodules, consolidations, fibrosis, and vascular features, including critical pathologies like pneumothorax, lung tumors, emphysema, and infections. Every dataset undergoes rigorous clinical validation to ensure anatomical accuracy, disease-specific detail, and medical compliance. Our high-quality, annotated 3D CT datasets enable AI models to detect early lung diseases, quantify disease extent, and facilitate treatment planning for better patient outcomes.

Pulmonology MRI Annotation & Segmentation

Accelerate your medical AI development with Pareidolia Systems LLP specialized Pulmonology MRI Annotation and Segmentation services. We provide precise, pixel-level labeling of lung parenchyma, airways, and nodules to support functional respiratory imaging. Our expert teams handle complex 3D volumetric data, ensuring high-quality training datasets for Computer-Aided Diagnosis systems. Optimize your algorithms with our radiologist-verified medical image segmentation solutions today.

Contact us