9 Minutes read
In modern healthcare AI, precision is not a luxury — it is a clinical necessity.
As artificial intelligence becomes deeply integrated into radiology, cardiology, neurology, and diagnostic imaging workflows, the demand for highly accurate data annotation has intensified. At the heart of this transformation lies pixel level segmentation —a quality-driven methodology that ensures medical images are annotated with the precision required for building reliable AI-ready datasets.
At Pareidolia Systems LLP, pixel level segmentation is not just a service. It is a commitment to precision-driven healthcare innovation.
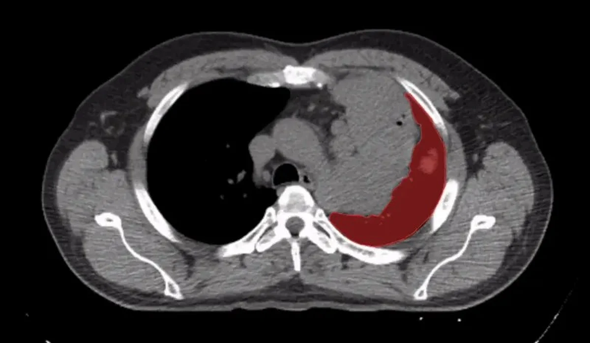
Pixel level segmentation implies that every pixel in an image is classified into a specific anatomical or pathological category.
Unlike traditional bounding box annotations, this approach:
In healthcare AI systems, even a few misclassified pixels can impact diagnosis accuracy. That is why pixel-level precision is now the gold standard in medical image annotation.
Healthcare AI models rely on high-quality training data. Without precise segmentation, AI outputs can become unreliable.
Here’s why pixel level segmentation matters:
In oncology imaging, defining the exact boundary of a tumor determines treatment planning, radiation targeting, and surgical intervention.
Accurate organ contouring improves:
AI models trained with pixel-perfect annotations can track subtle anatomical changes over time.
Precise annotation directly reduces false positives and false negatives in AI-driven systems.
At Pareidolia Systems LLP, segmentation workflows are designed to meet clinical-grade accuracy standards, ensuring reliability in high-stakes healthcare environments.
In medical AI, image segmentation in AI has evolved into three primary methodologies:
Segment each pixel by class (e.g., tumor, liver, artery).
Distinguishes between multiple similar structures, such as multiple lesions.
Used in advanced radiology and surgical planning for complete anatomical reconstruction.
Pareidolia integrates these segmentation approaches to build high-quality AI-ready datasets across specialties, including:

AI models such as U-Net, Mask R-CNN, and DeepLab rely heavily on accurately annotated datasets.
However, the true performance of deep learning image analysis depends on:
Pareidolia’s structured quality control process ensures:
✔ Multi-level review workflows.
✔ Clinician-guided validation.
✔ Consistency across large datasets.
✔ Regulatory compliance support.
This rigorous approach enhances AI model reliability in real-world healthcare deployments.
Medical AI datasets cannot rely on automated annotation alone.
Pareidolia Systems LLP incorporates:
Trained specialists with domain-specific expertise.
Layered review systems ensure annotation consistency.
Improving dataset reliability across iterations.
Capable of handling large imaging volumes without compromising precision. Quality control in medical imaging is not optional — it is foundational.
Beyond 2D segmentation, Pareidolia supports 3D model creation from segmented medical images.
Applications include:
Accurate 3D reconstruction begins with pixel-perfect 2D segmentation. Without foundational precision, volumetric models lose reliability.
This is where Pareidolia’s expertise becomes essential. Our teams are experienced across multiple industry-standard annotation and segmentation platforms, enabling seamless integration into existing AI and clinical workflows. With a strong focus on precision, Pareidolia delivers highly accurate annotations, fast turnaround times, and round-the-clock availability, ensuring consistent quality without slowing project momentum
Advanced computer vision applications in healthcare now include:
Each application depends on highly structured segmentation datasets.
Pixel level segmentation enhances:
Healthcare does not tolerate approximation. In industries like retail or marketing, a small margin of error may be acceptable. In healthcare imaging, even a 1% deviation can affect patient outcomes.
Pixel level segmentation delivers:
For AI developers, hospitals, and research institutions, this precision is no longer optional — it is the new standard.
Pareidolia stands apart through:

Their approach bridges the gap between raw medical imaging data and AI-ready structured datasets.
By combining medical expertise with advanced segmentation methodologies, Pareidolia ensures that healthcare AI systems are trained on the highest-quality data possible.
Pixel level segmentation classifies every pixel in a medical image into specific anatomical or pathological categories, ensuring precise boundaries.
It improves diagnostic accuracy, reduces model bias, and enhances AI reliability in clinical environments.
Semantic segmentation labels tissues and abnormalities, helping AI systems detect tumors, lesions, and organ structures.
Yes. Pareidolia supports 3D model creation from segmented datasets for surgical planning and clinical simulations.
Quality control ensures dataset consistency, reduces labeling errors, and enhances AI training reliability.
Pareidolia’s expertise ranges across various domains such as Radiology, Cardiology, Neurology, Musculoskeletal, ENT, Ophthalmology, Pulmonology, Gastroenterology, Nephrology, and Dental imaging.
When performed with structured workflows and validation, it supports regulatory and clinical standards.
Healthcare AI is entering a new era where precision determines credibility.
Pixel-level segmentation is not just a technological advancement — it is a clinical imperative. As AI systems increasingly assist doctors and radiologists, the quality of training data becomes the foundation of trust.
Pareidolia Systems LLP stands at this intersection of precision and innovation, delivering high-quality medical image segmentation solutions that empower healthcare AI globally.
Precision is the new standard.
And pixel-level segmentation is leading the way.