Artificial intelligence in oncology is transforming how cancer is detected, diagnosed, and treated. From early-stage tumor detection to predictive treatment planning, AI-powered systems are now playing a critical role in modern cancer care.
However, the success of AI in cancer diagnosis does not begin with algorithms or models—it begins with data.
More specifically, it begins with high-fidelity annotated data.
Without accurate, clinically validated, and well-structured training data, even the most advanced AI models fail to deliver reliable outcomes. In oncology, where decisions directly impact patient lives, data quality is not optional—it is foundational.
This article explores how high-fidelity annotated data powers artificial intelligence in oncology, why it is essential for clinical-grade AI, and how specialized oncology data annotation services enable safer, more accurate cancer AI solutions.
Artificial intelligence in oncology refers to the use of machine learning, deep learning, and computer vision technologies to assist in:
AI systems can process vast volumes of complex medical data—far beyond human capacity—helping clinicians identify subtle patterns that may otherwise go unnoticed.
Despite these advancements, the effectiveness of AI models depends almost entirely on the quality of the data they are trained on.
In healthcare, poorly annotated data leads to inaccurate predictions. In oncology, it can lead to misdiagnosis, delayed treatment, or inappropriate therapy decisions.
AI models are only as good as the data used to train them.
These challenges highlight why high-fidelity annotated data is critical for building reliable and clinically usable oncology AI systems.
High-fidelity annotated data refers to datasets that are:
In oncology, this often includes:
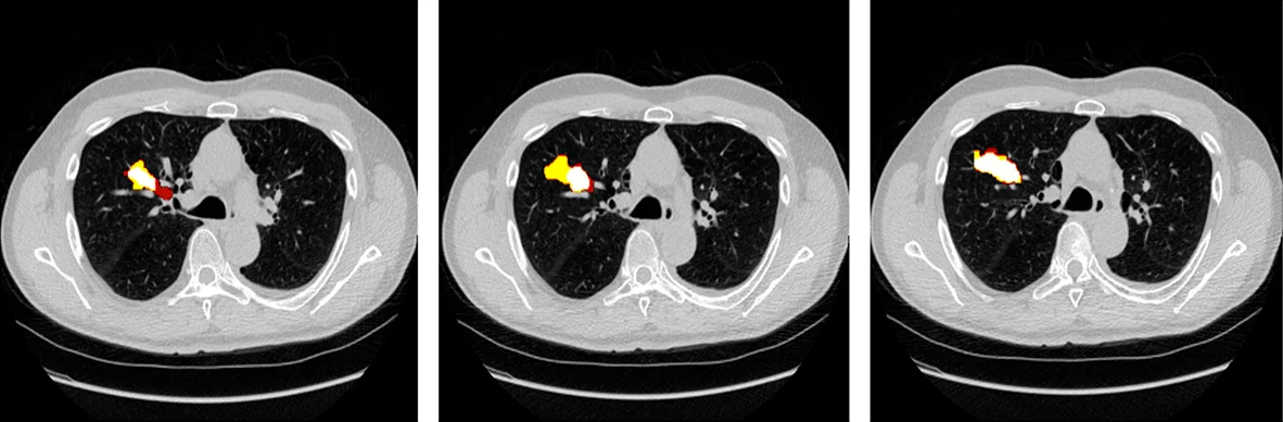
Medical imaging is one of the most data-intensive areas in oncology AI.
To enable AI models to interpret these images accurately, they must be annotated with extreme precision.
This is where medical image annotation for AI becomes essential.
High-quality medical image annotation ensures AI systems learn clinically relevant features rather than noise.

General annotation is not enough for healthcare AI.
Oncology requires specialized data annotation services that combine technical accuracy with clinical understanding.
Professional oncology data annotation services ensure:
This level of rigor is essential for building AI systems that can be trusted in real-world clinical environments.
AI models trained on high-fidelity annotated data have demonstrated significant improvements in:
Studies have shown that AI systems trained on well-annotated oncology datasets can match—and in some cases exceed—human-level performance in specific diagnostic tasks.
However, these outcomes are only possible when the underlying data is representative, accurately annotated & clinically validated This reinforces the idea that artificial intelligence in oncology is fundamentally a data-driven discipline.
Reliable artificial intelligence in cancer detection requires more than advanced algorithms—it requires precise, clinically meaningful data. This is where Pareidolia Systems LLP plays a critical role in enabling scalable and trustworthy oncology AI solutions.
Pareidolia Systems LLP supports healthcare AI innovators by delivering high-fidelity annotated datasets tailored specifically for oncology use cases. By combining technical annotation expertise with healthcare domain understanding, Pareidolia helps bridge the gap between raw medical data and clinically reliable AI models.
By focusing on data accuracy and consistency, Pareidolia Systems LLP enables AI teams to train models that perform reliably across diverse datasets and clinical scenarios.
For artificial intelligence in oncology to deliver meaningful insights, AI models must be trained on data that accurately represents real-world clinical conditions. Pareidolia Systems LLP helps ensure this by providing high-fidelity annotated data that allows AI systems to learn clinically relevant patterns rather than surface-level correlations.
Through detailed and structured annotation processes, Pareidolia empowers AI models in:
High-quality annotation also helps AI development teams better interpret model outputs, enabling clearer visualization of detected regions and improving collaboration between data scientists and clinical experts.
Rather than treating annotation as a mechanical task, Pareidolia Systems LLP approaches it as a critical layer in the oncology AI lifecycle, ensuring that training data aligns with real diagnostic requirements and research objectives.

As cancer research evolves, AI will play an even larger role in:
However, the future success of AI in oncology will continue to depend on one critical factor:
The quality of annotated data used to train these systems.
Organizations that invest in high-fidelity annotation today will shape the future of reliable, ethical, and clinically impactful oncology AI.
2. Why is data annotation important in oncology AI?
3. What is high-fidelity annotated data?
4. How does AI help in cancer diagnosis?
5. What are oncology data annotation services?
6. Why choose a cancer dataset annotation company?
Artificial intelligence in oncology holds immense promise—but only when built on a foundation of high-fidelity annotated data.
From AI in cancer diagnosis to advanced predictive analytics, data quality determines whether oncology AI systems are reliable, explainable, and clinically useful.
As healthcare organizations continue to adopt AI, investing in accurate medical image annotation and expert-driven data labeling is no longer optional—it is essential.