AI in neurology is transforming how clinicians detect, diagnose, and monitor neurological disorders. From early signs of Alzheimer’s to subtle markers of multiple sclerosis, AI-driven models promise faster and more accurate insights than traditional imaging workflows.
However, the success of neurology AI does not begin with algorithms—it begins with high-quality medical image annotation.
One of the biggest bottlenecks in building reliable neurological AI systems is low-contrast MRI segmentation. Early-stage neurological abnormalities often appear faint, ambiguous, and difficult even for experienced radiologists to delineate. Teaching AI to “see” what is barely visible requires precise annotation, expert-guided segmentation, and rigorous quality control.
At Pareidolia, we specialize in annotating the unseen—helping AI systems learn from complex, low-signal medical images through advanced medical image segmentation, expert annotation workflows, and clinical-grade quality assurance.
Magnetic Resonance Imaging (MRI) is the gold standard for neurological imaging, but not all MRIs are created equal. In early-stage neurology, disease markers often present as:
These challenges make MRI image segmentation significantly harder compared to high-contrast modalities.
Early-stage neurological MRI segmentation faces several obstacles:
For AI models, these challenges translate into misclassification, poor generalization, and unreliable predictions—unless the training data is annotated with exceptional precision.
This is where medical image annotation for neurology AI becomes mission-critical.
AI models are only as good as the data they learn from. In neurological imaging, annotation errors—however small—can have major downstream consequences.
Effective annotation of medical images involves:
For low-contrast MRI, this process requires human-in-the-loop expertise, advanced segmentation strategies, and robust quality control systems.
At Pareidolia, annotation is treated as a clinical-grade process, not a mechanical task.

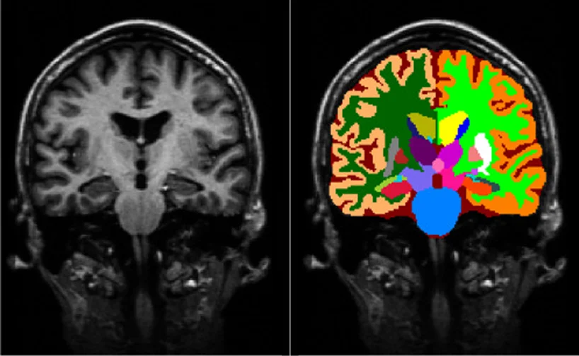
Medical image segmentation is the process of partitioning MRI scans into meaningful regions—such as brain structures, lesions, or tissue classes.
Accurate segmentation enables:
Without reliable segmentation, even the most advanced AI architectures fail to deliver clinical value.
Generic segmentation pipelines often fail in early neurology use cases. Low-contrast MRI segmentation demands:
Pareidolia’s segmentation workflows are designed specifically to handle low-visibility neurological features, ensuring AI-ready datasets.
Annotation is the bridge between raw MRI scans and intelligent AI systems.
Neurological image annotation differs from other domains due to:
Our medical image annotation for AI workflows combine:
This ensures datasets are suitable for neurology AI training data pipelines.
Effective brain MRI segmentation techniques for low-contrast data rely on a hybrid approach.
While automated tools accelerate workflows, early-stage neurological MRI still benefits from:
At Pareidolia, this hybrid approach is powered by both clinical expertise and platform fluency:
Before annotation begins, MRI data must be prepared so that subtle neurological structures are clearly visible and consistent across scans. In low-contrast brain MRI, poor preprocessing can cause noise or scanner artifacts to be mislabeled as anatomy.
Effective MRI preprocessing for AI models includes:
These steps ensure that annotators label true clinical features, not imaging artifacts—resulting in more reliable AI training data.

Beyond 2D segmentation, 3D model creation plays a vital role in neurological AI applications.
3D reconstructions enable:
Pareidolia converts segmented MRI data into accurate 3D anatomical models, empowering advanced neurology AI systems.
In neurology AI, annotation errors can lead to false diagnoses or missed early warnings. That’s why quality control in medical imaging is non-negotiable.
Our QC framework includes:
This guarantees accurately annotated neurology imaging datasets that adhere to research and clinical requirements
High-quality annotated data enables AI systems to:
With accurate neurological disorder detection AI, subtle early-stage signals can be identified before symptoms escalate.
Pareidolia is more than an annotation provider—we are a medical imaging partner.
We understand that artificial intelligence in neurology depends on precision, not assumptions.
As AI continues to redefine neurological care, the demand for high-quality, expertly annotated MRI datasets will only grow.
Early-stage neurology AI cannot rely on visible abnormalities alone—it must learn from the unseen, the subtle, and the ambiguous.
At Pareidolia, we help AI models see what is easy to miss.
By combining medical image segmentation, annotation of medical images, 3D model creation, and quality control in medical imaging, we enable neurology AI to move from potential to practice.
If your AI models rely on MRI data and early-stage neurological insights, Pareidolia provides the expertise, precision, and scalability you need.
Annotate smarter. Segment deeper. Detect earlier.