Deep learning medical imaging is rapidly transforming the way doctors interpret medical scans—enabling faster, more accurate, and highly personalized diagnoses. From traditional scans to intelligent, interpretable visuals, the integration of AI and deep learning in medical imaging is bridging the gap between raw data and accurate diagnosis.
At Pareidolia Systems LLP, we enable this transformation by offering end-to-end solutions, including Medical Image Annotation, 3D Model Creation, Segmentation, and Quality Control in Medical Imaging—all optimized to support AI models used in modern healthcare systems.
Deep learning medical imaging refers to the application of neural networks, especially convolutional neural networks, to analyze and interpret medical images. This involves training models to identify patterns in images such as X-rays, MRIs, CT scans, and ultrasounds, facilitating faster and often more accurate diagnoses.
Unlike traditional image processing, deep learning can self-learn features from large datasets, making it exceptionally effective for complex imaging tasks. With the growing availability of digitized medical data, the use of AI in medical imaging is not just valuable—it’s essential.

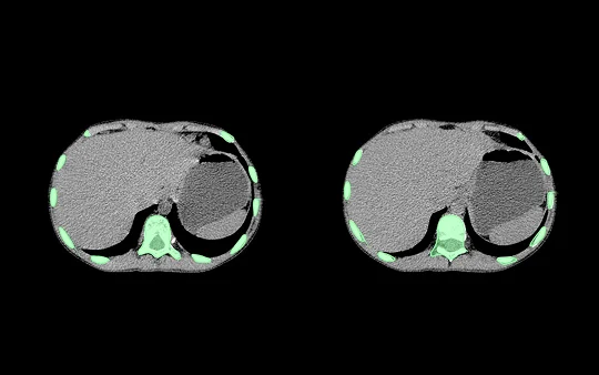
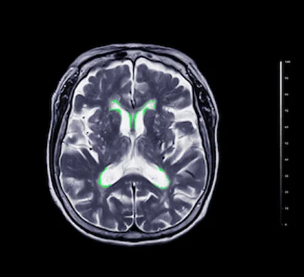
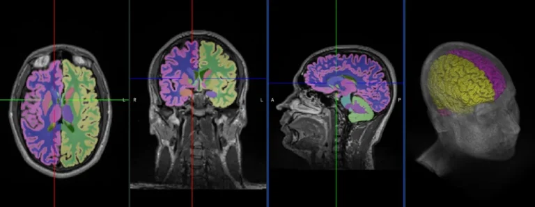
A deep learning model is only as good as the data it learns from. Robust annotation and segmentation drive the performance and trustworthiness of AI solutions in medical imaging.
At Pareidolia Systems LLP, we specialize in:
These services provide the structure deep learning models need to perform reliably in real-world clinical applications.
The fusion of deep learning and medical imaging has unlocked a wide range of use cases:
From cancer to cardiovascular diseases, deep learning enables early detection by analyzing subtle patterns often missed by the human eye.
With our high-precision 3D models, surgeons can visualize internal structures pre-operatively—reducing surgical risks and improving outcomes.

Deep learning algorithms can automatically detect anomalies in chest X-rays, brain MRIs, and bone fractures, significantly reducing radiologist workload.
By combining annotated datasets with patient history, AI models can recommend treatments tailored to individual needs—driving better patient care.
We are more than a service provider—we are AI enablers in healthcare. By delivering clinically validated, AI-ready medical image datasets, Pareidolia Systems LLP supports AI researchers, med-tech companies, life sciences organizations, and healthcare institutions globally.
Our strengths include:
Whether you are building a cancer detection tool, training a surgical robot, or developing AR/VR solutions for medical education, our data preparation pipeline is built to serve your exact needs.
As deep learning medical imaging continues to evolve, its integration with emerging technologies like augmented reality, robotics, and real-time diagnostics will redefine precision medicine.
However, the accuracy of these systems will always depend on the quality of the underlying data. That’s why high-quality annotations, segmentation, and 3D modeling—like those we provide at Pareidolia Systems LLP—remain critical to the advancement of AI in healthcare.

Deep learning medical imaging stands as the cornerstone of next-generation healthcare. But to build powerful, accurate AI models, the foundation must be solid—well-annotated, clinically relevant, and precisely segmented data.
At Pareidolia Systems LLP, we’re proud to be that foundation.
As you innovate the future of healthcare, let Pareidolia Systems LLP be your data partner—delivering scalable, secure, and clinically precise imaging solutions that accelerate your AI models from concept to deployment.