The premise of Artificial Intelligence in surgery moving from a fascinating concept in medical journals to a tangible presence in operating rooms. We are transitioning rapidly from the “sandbox” phase of development, characterized by exploration and proof-of-concept, to the “surgery” phase, where AI models directly impact patient care.
However, the path from a functioning algorithm to a clinically deployed surgical aid incredibly complex. For innovators developing these tools, understanding the entire ecosystem, particularly the vital, foundational stages that happen long before the AI sees its first real patient, is paramount. In 2026, the differentiator isn’t just a clever algorithm; it’s a model built on rock-solid data and integrated within a deeply compliant workflow.
This blog offers a strategic, step-by-step roadmap outlining the deployment of a medical AI model that aids in surgical planning and guidance. It highlights the indispensable role of highly accurate annotation, segmentation, and quality control, and explores the platforms and regulatory requirements that will define the healthcare landscape in 2026.

A successful AI deployment begins not with an algorithm, but with a precise clinical question. What specific surgical challenge will this AI address? Will it pre-operatively plan complex resections, intra-operatively segment critical vessels from live fluoroscopy? Or predict post-operative outcomes based on pre-op scans? This question dictates every subsequent step, especially data acquisition.
In 2026, data quality overshadows data quantity. The most powerful models are trained not on massive, noisy datasets, but on highly curated, representative, and meticulously annotated “gold-standard” data. For surgical AI, this data must come from diverse sources (CT, MRI, 3D Ultrasound, Intra-operative video) across various demographics and pathologies to ensure generalizability and prevent bias.
The point where the foundation for customized 3D models is laid. An AI can only accurately model what it has been taught to see. If the training data lacks specificity, the final surgical aid will be unreliable.
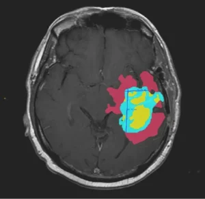
The crux of converting raw DICOM images into a surgically useful AI is medical image segmentation. This is where raw pixels transformed into anatomical reality.
For surgical planning AI, accurate segmentation not a luxury; it is the fundamental prerequisite. If an AI is tasked with delineating a tumor for resection, a 2 mm error in boundary definition could lead to incomplete resection (endangering the patient) or excessive tissue loss (resulting in functional deficit).
Automatic segmentation algorithms have improved; however, the gold standard, especially for complex pathologies and irregular anatomies remains human-in-the-loop validation, driven by medical experts. This crucial for two main reasons:
This phase is where “sandbox” experimentation meets the rigors of clinical necessity. The AI is trained to understand complex anatomy with high precision, building the “map” that will guide the surgeon.
In 2026, the medical AI landscape defined by platforms that offer security, scale, and compliance. Companies aren’t building their systems from scratch; they are leveraging existing ecosystems.
A centralized Data Labeling and MLOps platform essential for managing the entire AI lifecycle. These platforms are where medical annotation teams operate. They must provide:
Key Platforms in Use
Popular open-source platforms streamline annotation and 3D modeling workflows.

The AI model is then trained, cross-validated, and refined within this controlled data environment. The output is a robust algorithm that can segment anatomy from new, unseen data with a high level of confidence.
By 2026, the regulatory pathway for Medical AI (especially AI as Medical Device – SaMD) will well-defined but extremely rigorous.
Regulatory compliance is not a hurdle to jump at the end; a strategic requirement that must embedded from the very beginning.
A non-compliant development process makes deployment impossible, regardless of the model’s technical merit. Compliance is the bridge that turns a promising algorithm into a marketable, safe medical product.

The deployment phase itself involves moving the validated model into the clinical environment. This is not simply about running code; it’s about clinical integration.
These models can be:
The accuracy of the initial segmentation (from Phase 2) directly dictates the accuracy and safety of these critical downstream applications.
4. Clinical Validation and Post-Market Surveillance: Final deployment includes rigorous clinical trials proving real-world safety and efficacy before implementation in healthcare settings.
Post-market surveillance monitors performance on new patients, feeding insights into the data-annotation-training cycle for continuous improvement through MLOps.

We accelerate your medical AI projects with expert image annotation, segmentation, and quality control services. We provide the essential, high-quality “fuel” that powers the entire deployment ecosystem.
Conclusion: From Blueprint to Bedside
The deployment of medical AI in surgery will transform healthcare by 2026. However, the path structured and demands uncompromising quality. Success comes from a collaborative ecosystem, not a single “black box” algorithm, built on a strong and reliable data foundation.
Expert-driven medical image segmentation and quality control ensure accuracy, build trust, maintain compliance. Enable safe transition to real clinical environments.
We partner with you to deliver AI that precise, reliable, compliant, and ready for real-world clinical deployment.

Ans: Success measured by Clinical Utility and Seamless Integration. A successful deployment delivers real-time, actionable insights, identifying critical structures or predicting surgical margins with over 98% segmentation accuracy.
Beyond algorithms, it requires integration with Hospital Information Systems, ISO compliance, and reduced surgical variability or operative time.
Ans: Inaccurate segmentation creates “geometric noise.” A 1 mm deviation in 2D contouring can result in a 3–5% volumetric error in 3D models. For orthopedic or cranial guides, this leads to poor mechanical fit, potentially causing intra-operative misalignment or hardware failure.
Ans: Fully automated models often fail at “edge cases” like post-traumatic anatomy or rare pathologies. HITL ensures clinical experts validate every boundary, delivering accurate “ground truth” for high-risk operating room environments.
Ans: Pareidolia Systems LLP enables healthcare AI deployment through infrastructure integration, scalable strategies, and responsible AI implementation.