Artificial Intelligence (AI) is revolutionizing healthcare, transforming how medical professionals diagnose diseases, plan treatments, and improve patient outcomes. However, AI models can only be as effective as the data used to train them. This is where Pareidolia Systems LLP plays a critical role. By ensuring that medical data is precisely labeled and structured, these companies are powering next-generation healthcare solutions.
Medical data annotation is the process of labeling and tagging medical images, patient records, and other healthcare data so AI and Machine Learning (ML) algorithms can interpret them accurately. This includes:
At Pareidolia Systems LLP, we provide high-quality annotation services tailored to the healthcare industry, ensuring precision, compliance, and scalability.
AI models trained with well-annotated data can detect patterns that may be missed by the human eye. For example, annotated radiology images can help AI systems detect tumors or microfractures at an early stage.
Accurate annotations enable AI to provide insights for personalized treatment plans, improving patient care and reducing errors.
Researchers can develop and validate AI algorithms faster with access to large, annotated datasets. This speeds up innovation in disease detection and drug development.
Healthcare AI solutions must comply with strict regulations. Proper annotation ensures data integrity and traceability, helping companies meet compliance requirements.
At Pareidolia Systems LLP, we specialize in high-precision data annotation services designed for healthcare and AI applications. Our expertise includes:

Understand dataset specifics, clinical use case, and annotation goals.
Define detailed labeling guidelines, edge cases, and QA protocols with medical input.
Screen images for quality, format, and compliance with SOP criteria.
Apply precise, modality-specific annotations using trained domain experts.
Approve and export high-quality annotations in client-specified formats.
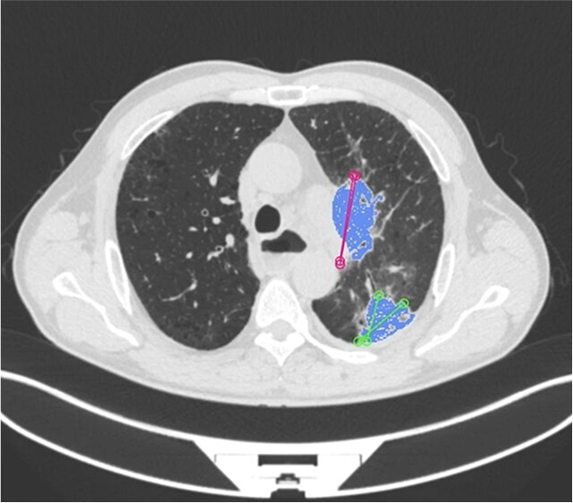
AI can detect anomalies like lung infections, bone fractures, or neurological disorders faster and with high accuracy.
AI models trained with annotated images help identify tumors, classify their stages, and track growth over time.
Medical image annotation helps AI systems identify heart defects, arterial blockages, and other cardiovascular conditions.
Annotated datasets allow AI models to analyze disease progression and predict how new drugs might interact with biological systems.
3D printing in healthcare uses patient-specific data to create accurate anatomical models, prosthetics, implants, and even bioprinted tissues. Annotated medical images help in designing customized surgical tools and guides, improving precision and reducing surgery time. It also aids in pre-surgical planning and medical training.
Augmented Reality (AR) and Virtual Reality (VR) technologies allow surgeons to visualize complex anatomical structures in 3D before and during procedures. Surgical navigation systems, powered by annotated imaging data, provide real-time guidance for minimally invasive surgeries, reducing risk and improving patient outcomes. These technologies are also used for medical education and simulation-based training.
![]()
The future of healthcare lies in precision medicine—where treatments are tailored to individual patients based on their genetic makeup and medical history. AI can only achieve this level of precision when trained on meticulously annotated data.
As AI adoption in healthcare grows, the demand for reliable medical data annotation will rise significantly. From automating diagnostic workflows to enabling predictive healthcare, the role of accurate annotation is indispensable.
The future of AI in healthcare depends on the quality of data it learns from—and medical data annotation companies are at the heart of this transformation. With its expertise in medical image annotation, radiology image annotation, and advanced segmentation techniques, Pareidolia Systems LLP is driving innovation in AI-powered healthcare solutions.
Artificial intelligence in neurology is transforming how clinicians detect, diagnose, and monitor neurological disorders
The Blueprint for Better Stroke Care:How Pareidolia’s Precise Annotations Are Training Life-Saving AI
3D Printing in Neurosurgery: How Neurologists Use 3D Models for Aneurysm Surgery Planning