Aug 9 2025
medical image analysis
Streamlining Clinical Trials: The Power of Annotated Imaging Data in Accelerating Cures
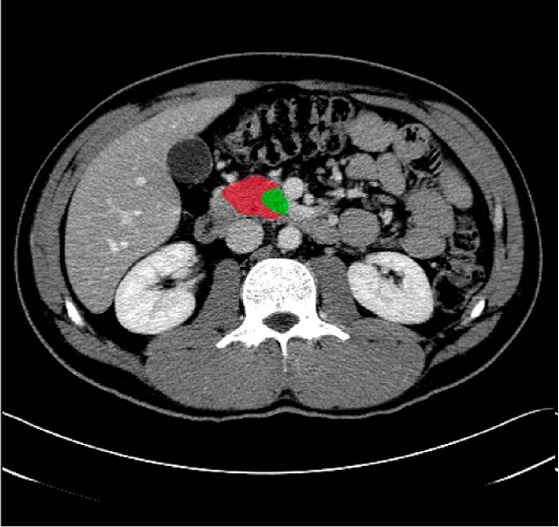
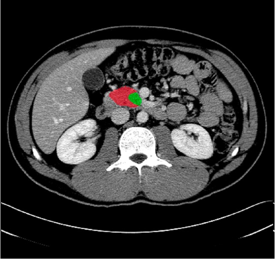
Medical image annotations are revolutionizing the landscape of clinical research by enabling precise, data-driven insights from diagnostic images. These annotations help standardize complex visual data, making it easier for AI and clinical teams to detect patterns, track disease progression, and evaluate treatment efficacy. As clinical trials increasingly rely on imaging biomarkers for accurate assessments, annotated datasets have become essential tools in improving trial design, patient stratification, and overall research outcomes.
1. The Power of Medical Image Annotation Data in Clinical Trials
- Quantify drug effects: AI can detect subtle imaging biomarkers, guiding dosage decisions and response measurement in trials.
- Improve patient selection: By analyzing MRIs and CTs, predictive models enrich trials with participants demonstrating early disease signals, boosting trial power by over 50%.
Real‑world example: In a 2022 study, researchers developed a multimodal machine learning model for predicting cognitive decline in early Alzheimer’s using MRI biomarkers which decreased the required participants by 51% in Alzheimer’s trials.
2. How AI Data Annotation Enables Swift Trials
Data annotation companies transform raw DICOM or digital imaging into trusted AI training sets. Their benefits include:
- Expert-labeled accuracy: Clinician-guided annotation captures subtle pathologies and ROI boundaries essential for high-performing models.
- Accelerated model development: Scalable, high-quality annotations reduce model training time and cut annotation costs by ~70%.
These annotated datasets underpin predictive models that identify responders early, minimizing late-stage trial failures and driving substantial reductions in cost and duration.
At Pareidolia Systems LLP, we specialize in delivering high-precision, disease-specific medical image annotations tailored for clinical research. Our annotated datasets accelerate biomarker discovery, enhance patient stratification, and reduce variability in imaging-based endpoints. By aligning with trial protocols and regulatory standards, we help research teams unlock AI-driven insights and shorten the path from study to solution.
3. Emerging Tools & Platforms in Medical Image Annotations
State-of-the-art annotation platforms and AI tools support precise, efficient labeling:
- MONAI Label, MD.ai, Labelbox: Offer 3D medical image annotation, semantic labels, and QA processes.
- Interactive AI annotation: Systems like DeepEdit and active learning workflows streamline annotation by combining automation with expert corrections.

4. Pareidolia Systems LLP: Elevating Clinical Trial Imaging
Pareidolia Systems LLP provides end-to-end services to ensure your trial uses the most robust annotated imaging data:
| Phase |
Pareidolia’s Role |
| Data quality control |
Conducts initial screening of raw imaging data for quality, consistency, and integrity before annotation. |
| Annotation & segmentation |
Performs precise annotation and segmentation of medical imaging data using advanced tools and expert teams. |
| Annotation & segmentation review |
Implements multi-level QC with expert reviewers to ensure accuracy, consistency, and clinical relevance. |
5. Case in Point: Alzheimer’s & Cancer Imaging Initiatives
- Alzheimer’s Disease Neuroimaging Initiative (ADNI): A longitudinal, multicenter neuroimaging data bank that uses standardized, annotated imaging to guide trial development in AD.
- AI tools incorporation in ovarian cancer detection: An open-source pipeline that enables deployment of AI-based medical image annotation tools, such as tumor detection and segmentation, into clinical trial workflows, enhancing standardization and reproducibility in imaging analysis.

6. Future Trends in Medical Image Annotations in Clinical Trials
- Synthetic & Federated Annotation
Generative AI can augment rare-case datasets, while federated learning preserves patient privacy and boosts annotation scale.
- Predictive, Model-driven Annotation
Early-stage model predictions help annotators focus on key areas, improving consistency and reducing effort.
- Automated QC and Bias Detection
Integrated QA pipelines help identify labeling inconsistencies across populations, ensuring AI equity and regulatory compliance.
Why Pareidolia Systems LLP Is Your Trusted Partner
- Comprehensive AI Annotation Services: Leverage both 2D and 3D annotation across imaging modalities.
- Trailblazing in Clinical AI: We deliver curated imaging datasets validated by clinical metrics within trial-ready frameworks.
- Streamlined Trial Support: From dataset prep to AI model handoff, we help optimize patient selection and endpoint evaluation for faster trial success.
Accelerate Your Trial Today
Equip your clinical trials with high-impact annotated imaging — visit pareidolia.in to explore:
- Data Annotation Services.
- 3D Medical Image Segmentation.
- Quality Control & AI Model Readiness.
Ready to unlock faster, smarter outcomes in your trials? Connect with Pareidolia Systems LLP and power your breakthroughs with precision AI.