In 2025, stroke is the second leading cause of death globally, causing 3.6 million deaths. With 7.8 million new cases annually and 70 million survivors, the rising burden costs over 70 million healthy life years, impacting low- and middle-income countries most severely.
A stroke can change a life in minutes. Accurate diagnosis is crucial—every second counts when brain cells are deprived of oxygen. Traditionally, stroke detection relies on medical imaging and the trained eye of a radiologist. But as hospitals face increasing caseloads and time-sensitive decisions, AI in stroke care is emerging as a game-changer.
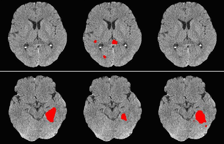
Artificial Intelligence is actively empowering clinicians to identify strokes faster, classify them with unprecedented accuracy, and even predict patient recovery outcomes. These life-saving breakthroughs share a critical foundation: precision-annotated data.
Don’t let data quality limit your innovation. Pareidolia Systems’ expert annotation team is ready to partner with you. We deliver the precise data annotation and segmentation services required to fuel your AI model’s success and take your diagnostic solution to market—faster and with greater confidence.
AI in stroke care is not just a futuristic concept — it’s already making measurable differences in emergency rooms and imaging centers around the world.
AI-powered systems can analyze brain scans within seconds, identifying signs of ischemic or hemorrhagic stroke long before human review is complete. This speed gives doctors more time to initiate life-saving interventions like thrombolysis or mechanical thrombectomy.
Precisely annotated datasets are critical for training AI models to recognize minute, clinically relevant features that may be missed due to human limitations. This capability directly reduces the rate of false negatives, thereby significantly enhancing diagnostic reliability, particularly during the critical early stages of stroke. The resulting early detection drives superior clinical performance, mitigating the risks associated with misdiagnosis and eliminating costly diagnostic delays.
AI-driven insights allow clinicians to understand the extent of brain damage, predict patient outcomes, and customize rehabilitation strategies—bringing precision medicine to the forefront of stroke care.
AI solutions trained with globally diverse data can support hospitals in developing regions, where access to neurological specialists is limited.
AI-driven segmentation and radiomics extraction are fueling new stroke research directions — from automated lesion quantification to deep phenotyping of vascular territories. These advancements support faster hypothesis testing and drug discovery in cerebrovascular research.
Every powerful AI model depends on its training data. Without precisely annotated data, even the most advanced algorithms can misinterpret medical scans. That’s why annotation quality is the cornerstone of effective AI in healthcare.

By blending medical knowledge with technological precision, Pareidolia Systems transforms raw medical data into structured intelligence that powers next-generation healthcare solutions.
The future of stroke care, powered by Artificial Intelligence, is focused on dramatically improving the speed, accuracy, and personalized nature of diagnosis, treatment, and recovery. As healthcare evolves, the synergy between medical professionals and AI systems will continue to strengthen. AI will not replace clinicians—it will enhance their capabilities.
The true strength of medical AI begins long before the algorithm; it lies in the precision of every annotation. At Pareidolia Systems LLP, we transform complex medical data into trustworthy intelligence, building the foundation for tomorrow’s life-saving technologies.
The future of stroke care lies at the intersection of medical expertise and artificial intelligence. As AI continues to redefine healthcare, one truth remains constant: the quality of its data determines the quality of its care. Pareidolia Systems LLP is redefining this standard. Through meticulous data annotation, clinical insight, and ethical integrity, they’re enabling AI that doesn’t just analyze—it saves lives. When healthcare innovation meets Pareidolia’s precision, the outcome is clear: smarter diagnostics, faster interventions, and better patient outcomes.
Partner with Pareidolia Systems LLP—where data precision powers medical innovation. Trusted globally by healthcare AI innovators and research leaders.
AI in stroke care refers to artificial intelligence tools that analyze medical images and patient data to detect, classify, and predict stroke outcomes. These systems help doctors diagnose and treat strokes faster and more accurately.
Pareidolia provides expert-level data annotation services for medical imaging and healthcare AI companies. Their precisely labeled datasets help train AI models that detect strokes, analyze brain scans, and support clinical decision-making.
Precision data annotation is non-negotiable for training AI systems to accurately internalize real-world clinical data. A deficit in annotation quality directly leads to models that misinterpret critical diagnostic imaging or fail to register subtle pathological patterns, fundamentally undermining clinical reliability and increasing risk.
AI is an incredible assistant in the clinic. When we train these systems using high-quality, clinical-validated data, they can make diagnoses much more accurate and safer for patients. But it is always important to remember: AI is a tool, not a replacement. That final medical decision always rests with the human clinician—their experience and judgment are essential.
Choose Pareidolia Systems to accelerate your AI success. Our distinction lies in four pillars: deep medical domain expertise, quality control, faster delivery and compliance. We don’t just process data; we deliver the trusted, high-quality foundation required to launch and scale your next generation of healthcare AI innovation.