Jul 31 2025
Advanced 3D Medical Image Segmentation
The Next-Gen Medical AI starts here: Driving Precision AI with Advanced 3D Medical Image Segmentation
3D image segmentation is revolutionizing the way clinicians and researchers understand the human body. By transforming 2D medical images into precise 3D models, this technology enables deeper anatomical insights, enhances diagnostic accuracy, and streamlines surgical planning. At the forefront of AI-driven healthcare innovation, segmentation serves as the foundation for effective treatment, data-driven decisions, and scalable clinical research.
1. Why 3D Image Segmentation Matters in Healthcare
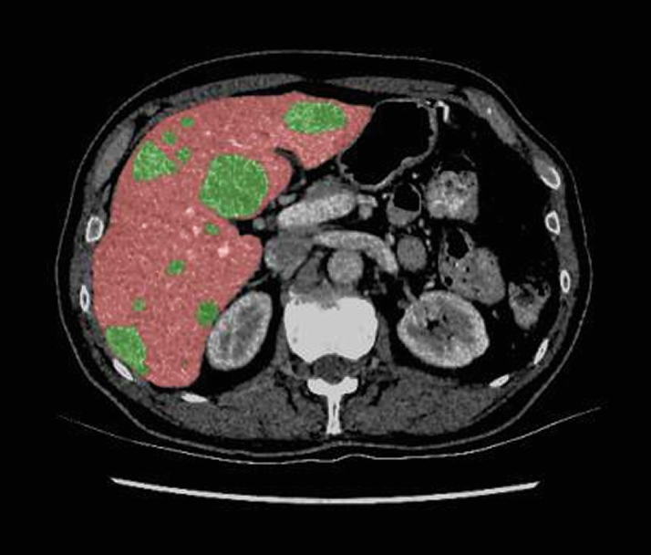
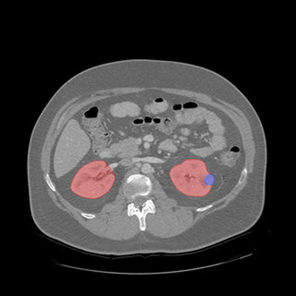
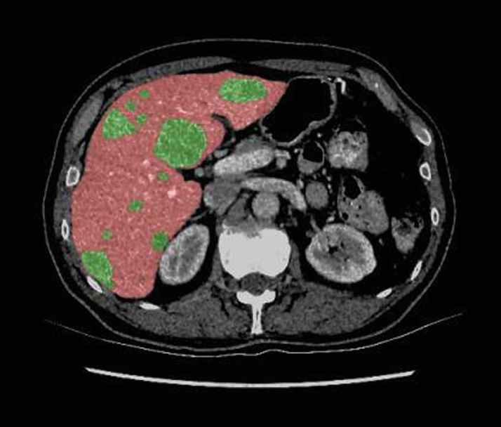
3D image segmentation, a technique that isolates anatomical regions from MRI, CT, or ultrasound, is foundational in clinical diagnosis, treatment planning, and quantitative analysis. When applied in 3D, it enables:
- Precise anatomical modeling for surgical planning and implant fitting.
- Clearer visualization segmentation tools filter out irrelevant structures like air or background tissue, bolstering clinician focus.
- Quantitative analysis through volumetric measurements of organs or lesions is crucial for tracking disease progression and therapy effectiveness.
- Structured Data for AI Model Training: Accurate annotations provide the labeled datasets needed to train and validate AI and machine learning models effectively.
- Improved Spatial Understanding: 3D segmentation enhances the depth and spatial accuracy of anatomical structures, supporting better diagnosis and surgical planning.
-
Challenges & Innovations: 3D Image Annotation at Scale
Annotating 3D medical imaging data presents both technical and operational challenges that impact scalability and speed. From voxel-level precision to limited expert availability, solving these bottlenecks requires both innovation and domain-driven solutions.
Challenges:
- Annotation bottleneck: Labeling every voxel in a 3D CT or MRI scan is time-consuming, costly, and requires expert radiologists. The complexity limits scalability for large datasets and slows down AI development.
- Need for clinical expertise: High dependency on medical professionals increases time and cost, as each annotation requires specialized knowledge and careful review. This limits scalability and makes the process slower, especially when handling large volumes of complex 3D imaging data.
- High Variability in imaging data: Diverse imaging modalities (like CT, MRI, PET) and variations in patient anatomy, pathology, and scan quality make it challenging to maintain consistent annotations. This inconsistency can affect model accuracy and requires strict guidelines and expert oversight to manage.
Innovations:
- Sparse annotation strategies: Cutting-edge methods reduce the need for full-volume annotation by
- Interactive AI-assisted tools: Platforms like DeepEdit and MONAI Label streamline the annotation process by combining automation with real-time clinical.
- Clinician-in-the-loop frameworks: These tools ensure precision while significantly reducing manual effort.

How Pareidolia Systems LLP Tackles These Challenges
- Integration of Cutting-Edge Innovations
We adopt the latest advancements in medical imaging to address the complexities of large-scale 3D annotation.
- Sparse Annotation Strategies
By labeling only the most informative slices or regions, we significantly reduce manual workload while retaining training quality.
- AI-Assisted Labeling Tools
We utilize smart annotation platforms that combine automation and clinician input for faster and more precise labeling.
- Clinician-in-the-Loop Workflows
Expert medical professionals are actively involved in reviewing and validating annotations, ensuring clinical accuracy.
- Close Collaboration Between Experts and Data Scientists
Our domain experts and technical teams work hand-in-hand to streamline the workflow and solve bottlenecks effectively.
The AI Leap in Medical Imaging: From Task-Specific to Universal Segmentation Models
- Deep learning dominance: Architectures like U-Net, CNNs, GANs, and transformers are now the core of most medical segmentation pipelines.
- Foundation-model breakthroughs: Models like MedSAM trained on over 1.5 million image-mask pairs can generalize across modalities, from CT and MRI to endoscopy. Fine-tuning MedSAM enhances segmentation performance in complex medical scenarios.
These universal models reduce the need for large, task-specific datasets and accelerate development timelines, especially valuable for AI teams building multi-modal, scalable clinical tools.
4. How Pareidolia Systems LLP Powers Precision AI Workflows
Pareidolia Systems LLP brings this vision to life with a holistic suite of AI-driven services:
A. Data Collection & Annotation
- We combine clinician expertise and advanced annotation tools to efficiently annotate 3D medical volumes, cutting annotation labor while preserving accuracy.
B. 3D Image Segmentation Model Development
- Our team customizes advanced deep learning architectures to ensure high-accuracy segmentation tailored to medical imaging needs.
- We leverage sparse annotation and self-training to sustain performance even in limited-data scenarios.
C. 3D Model Creation & QC
- Segmented volumes are transformed into 3D models for surgical planning, VR training, or 3D printing; they’re quality-tested using robust metrics like Dice, IoU, and Hausdorff Distance.
5. Real-World Applications & Outcomes
- Surgical Planning & Navigation: Accurate segmentation supports applications in neurosurgery, orthopedics, and urology, reducing surgical risk and improving outcomes.
- Biomedical Modeling & VR: Segmented data feeds into educational VR modules and patient-specific simulation environments.
- Clinical Trials Support: Robust segmentation streamlines volumetric biomarker generation, accelerating clinical studies and regulatory acceptance.
- 3D Printing: Anatomical models derived from segmented imaging data, supporting surgical planning, education, and patient-specific simulations.
- Patient outcome: Accurate 3D AI data annotation plays a key role in training AI models that assist in early and precise disease detection. This leads to timely interventions, improved treatment planning, and ultimately better recovery rates and patient satisfaction.
- Healthcare costing: By enabling automation and improving diagnostic accuracy, annotated datasets help reduce the need for repeated scans, manual reviews, and misdiagnoses. This translates to lower operational costs for healthcare providers and reduced financial burden on patients.
- Faster diagnosis: AI models trained on high-quality annotated data can significantly speed up the diagnostic process. What once took hours of manual analysis can now be done in minutes—supporting clinicians with quicker decision-making and enabling faster patient care.

6. The Future: Scaling AI in Healthcare
With medical segmentation advancing rapidly, Pareidolia is positioned to lead innovation with:
- Foundation-model expertise: Leveraging models to build task-agnostic segmentation pipelines.
- Annotation efficiency: Combining sparse data approaches and active learning to reduce costs and scale annotation.
- AR & VR: Developing AI-powered imaging solutions that enhance precision, simulation, and real-time assistance in surgeries and medical training.
- End-to-end workflows: From data acquisition and annotation to segmentation, 3D modeling, and regulatory-ready validation.
Why Leading Health Tech Companies Choose Pareidolia Systems LLP
- Comprehensive Services: We offer end-to-end solutions including data collection, annotation, segmentation, 3D modeling, and quality control to ensure accurate and efficient AI model development.
- Proven AI Techniques: Industry-standard models and frameworks for accuracy and adaptability.
- Clinical Focus: Healthcare-grade outputs supporting trials, surgery, and VR.
- End-to-end imaging solutions: We provide fully integrated imaging workflows—from raw data to annotated, clinically usable datasets. Our solutions accelerate AI/ML model development by ensuring consistent, high-quality inputs tailored for healthcare applications. Whether for diagnostics, surgery, or immersive VR environments, our outputs empower innovation at every step.
We Annotate. You Innovate.