In today’s medical imaging world, accuracy alone is no longer enough. Healthcare teams need to know why an AI model makes a decision—not just what it detects. This is where accurate AI becomes essential for supporting reliable AI medical diagnosis. It helps radiologists, clinicians, and researchers trust their tools by providing clear and interpretable insights behind every prediction.
At Pareidolia, we focus on creating accurate Segmented data that strengthens the entire decision-making process. For AI models to comprehend and identify hypodense lesions, precise segmentation is critical. Our approach brings clarity, transparency, and confidence to every stage of image analysis.
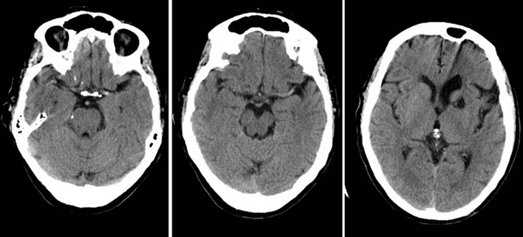
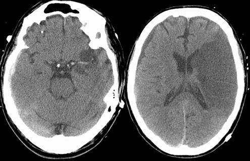
Hypodense lesions can appear across multiple anatomical regions—such as the brain, liver, spleen, kidneys, or other soft tissues—making accurate and precise segmentation essential regardless of location.
Medical imaging has evolved quickly, especially with the adoption of AI in medical imaging and deep-learning models. While traditional systems can detect patterns, they often act as “black boxes,” giving results without explanations.
Explainable AI changes this. It shows the logic behind each detection, making it easier for specialists to verify findings. This transparency is especially important for identifying hypodense lesions, which often require careful evaluation due to their subtle appearances across CT & MRI scans in various anatomical regions due to their subtle contrast differences.
Hypodense lesions can be difficult to identify because they share almost visual similarities with the surrounding tissue. Even experienced radiologists may spend significant time reviewing multiple slices of a scan.
AI imaging applications assist in speeding up this process—but only if the accurate data behind them is correct. The strength of any AI model depends on the quality of its training data. When the segmentation is flawed or inconsistent, the model’s output becomes unreliable. This is why high-quality AI segmentation is essential. It ensures every pixel and boundary is segmented with precision. Hypodense lesions can indicate different pathologies depending on the organ, ranging from cerebral infarcts to hepatic cysts, splenic lesions, renal abnormalities, or soft-tissue changes. AI models must be trained on diverse, explainable datasets that reflect this anatomical variability.

Pareidolia specializes in crafting detailed, structured, and precise segmentation datasets for medical imaging teams. Our workflow combines expert annotators, medical specialists, radiologists, and quality layers to ensure accuracy in every dataset.
Here’s how we support hypodense projects:
We segmented hypodense lesions with pixel-level accuracy, ensuring every boundary and shape is captured correctly, whether the lesion is in the brain, abdomen, or soft tissues.
Instead of providing only labels, we deliver segmentation that shows why each region is marked. This bridges the gap between machine prediction and human understanding.
Whether it’s CT, MRI, ultrasound, or X-ray, our team handles all major modality cases.
Our Radiologist reviews complex cases to ensure scientific accuracy and reliability.

Hypodense lesions may indicate conditions such as tumors, infections, cysts, or organ abnormalities. Because these findings can significantly impact diagnosis, transparent data is crucial.
Explainable AI enhances:
Most data annotation companies focus only on basic labeling. Pareidolia goes further by building a complete explainability framework for healthcare AI.

We deliver:
This ensures that hypodense lesion detection AI models receive data that is reliable, transparent, and ready for real-world clinical use, no matter which anatomical region the model is trained on.
AI becomes deeply embedded in radiology, the need for trustworthy datasets will only increase. Better AI medical diagnosis will shape the future of diagnostic imaging by helping specialists understand every model decision clearly and confidently. Pareidolia is committed to supporting this transformation. By delivering accurate, precise segmentated data for hypodense lesions across all anatomical regions, we help medical teams move beyond detection and toward true understanding.
In healthcare, AI must not be a black box. Transparent AI medical diagnosis leads to high-quality segmentation and makes medical imaging safer, faster, and more accurate. By leveraging concepts like Pareidolia.