Medical image analysis has witnessed remarkable progress in recent years, driven primarily by advancements in artificial intelligence (AI) and machine learning (ML). These technologies have revolutionized how researchers and clinicians interpret complex medical data, enhancing diagnostic accuracy and enabling personalized treatment strategies. In this blog, we explore the latest advancements in medical imaging analysis, focusing on core areas such as medical image segmentation, annotation, 3D model creation, and quality control — all critical components in AI-powered healthcare solutions.
Medical imaging analysis involves processing and interpreting images generated using equipment such as MRI, CT scan, X-ray, and ultrasound. Traditionally, this was a manual, time-intensive process prone to variability and human error. However, AI-driven methods are transforming this domain by automating image interpretation with precision and speed.
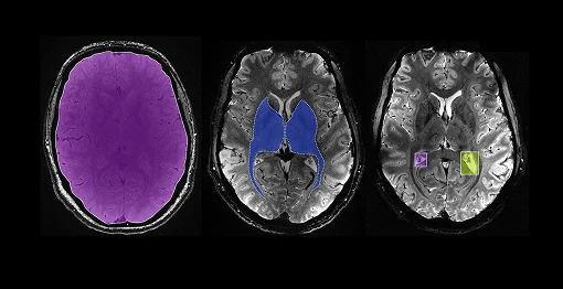
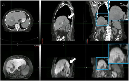
Medical image segmentation refers to the process of partitioning an image into meaningful regions, such as identifying organs, tumors, or lesions. This step is crucial because it enables AI models to focus on relevant structures, improving disease detection and treatment planning.

High-quality annotated datasets are the backbone of any supervised AI system. Annotation involves labeling regions or features in medical images, which trains AI algorithms to recognize and interpret similar patterns automatically. Building reliable AI datasets is essential for AI models to accurately detect patterns, improve diagnoses, personalize treatments, and reduce errors, ultimately enhancing patient outcomes and safety. Additionally, comprehensive datasets help ensure fairness by representing diverse populations, support regulatory compliance, and drive innovation and trust in AI-driven healthcare solutions.

Creating 3D models from medical images adds a spatial dimension critical for diagnostics, surgical planning, and simulation.
Quality control (QC) is often overlooked but is essential for reliable medical image analysis. QC ensures the integrity, consistency, and accuracy of image data and annotations before they used in AI model training or clinical applications.

The software landscape for medical image analysis is evolving rapidly, incorporating AI algorithms, cloud computing, and user-friendly interfaces.
Medical imaging analysis is at the forefront of AI-driven healthcare innovation. Advances in segmentation, annotation, 3D modeling, and quality control are collectively enabling researchers and clinicians to harness medical images like never before. For AI & ML researchers, understanding and integrating these advancements is crucial to developing robust, clinically viable models that can improve patient outcomes worldwide.
At Pareidolia Systems LLP, we specialize in delivering end-to-end AI solutions encompassing all these critical aspects and help you accelerate development, reduce deployment friction, and meet clinical demands with confidence— Whether you’re building diagnostic tools, surgical planning platforms, or training data pipelines, our end-to-end expertise helping you bridge the gap between raw medical images and actionable AI insights.